നാടവിരകളുടെ ലാര്വ യുവതിയുടെ തലച്ചോറിൽ...! കാരണം ഞെട്ടിക്കുന്നത്

കഴിഞ്ഞ ഏഴ് വര്ഷമായി വിട്ടുമാറാത്ത തലവേദനയുമായി കഴിഞ്ഞ 25 കാരിയെ ചികിൽസിച്ച ഡോക്ടർമാർ കണ്ടത് ഞെട്ടിക്കുന്ന കാഴ്ച്ച. ആദ്യമൊക്കെ മൈഗ്രെയ്ന് ആണെന്ന് കരുതി അതിനുള്ള മരുന്നുകളായിരുന്നു യുവതി കഴിച്ചിരുന്നത്.
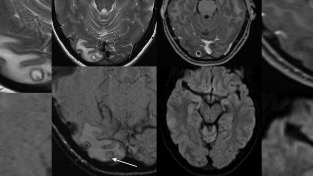
അടുത്തിടെ കഠിനമായ തലവേദന ഒരാഴ്ചയിലേറെ നീണ്ടു നിന്നു. ഒപ്പം കാഴ്ച മങ്ങുകയും ചെയ്തു. ഉടന് തന്നെ യുവതിയെ ആശുപത്രിയില് പ്രവേശിപ്പിച്ചു. ഡോക്ടര്മാര് യുവതിയെ എം.ആര്.ഐ സ്കാന് വിധേയമാക്കി. തലച്ചോറിലെ ട്യൂമറാണെന്ന നിഗമനത്തിലാണ് ഡോക്ടർമാർ എത്തിയത്.. തലയിലെ മുഴ നീക്കം ചെയ്യാനായി ഡോക്ടര്മാര് ശസ്ത്രക്രിയ ആരംഭിച്ചു. എന്നാല് മുഴയ്ക്കുള്ളില് ഡോക്ടര്മാര് കണ്ടത് ഞെട്ടിക്കുന്ന കാഴ്ചയായിരുന്നു.
ടേപ്പ് വേം (Tapeworm ) അഥവാ നാടവിരകളുടെ ലാര്വകളായിരുന്നു അതിനുള്ളില്. ഡോക്ടര്മാര് ശസ്ത്രക്രിയ വിജയകരമായി പൂര്ത്തിയാക്കി. യുവതി സുഖം പ്രാപിച്ചു വരുന്നു. ന്യൂറോസിസ്റ്റിസര്കോസിസ് (Neurocysticercosis ) എന്നാണ് ഈ അവസ്ഥ അറിയപ്പെടുന്നത്. ടേനിയ സോളിയം ( Taenia solium) എന്നറിയപ്പെടുന്ന നാടവിരകളോ അവയുടെ മുട്ടയോ ശരീരത്തിലെത്തുന്നത് വഴിയാണ് ഇവ ഉണ്ടാകുന്നത്.
പന്നിയിറച്ചിയില് ഈ വിരകള് കാണപ്പെടുന്നു. നാടവിരകള് തലച്ചോറിലെത്തുന്നത് വഴി ശക്തമായ തലവേദന മുതല് അപസ്മാരം വരെയുള്ള ലക്ഷണങ്ങള് പ്രകടമാകാം. നല്ലപോലെ വേവിക്കാത്ത പന്നിയിറച്ചി ഉള്പ്പെടെയുള്ള മാംസാഹാരങ്ങളിലൂടെയോ നാടവിരകളുടെ മുട്ടകള് അടങ്ങിയ മലിനജലത്തിലൂടെയോ ആണ് മനുഷ്യ ശരീരത്തിനുള്ളില് ഈ പരാദ ജീവികള് കടന്നുകൂടുന്നത്. സമയത്തിന് കണ്ടെത്തി ചികിത്സിച്ചില്ലെങ്കില് ജീവന് വരെ ഇവ ഭീഷണിയാകാം എന്നതാണ് ഇതിന്റെ അപകട സാധ്യത..
https://www.facebook.com/Malayalivartha

























