നാലുവയസുകാരൻ ചുമയ്ക്കുന്നത് വ്യത്യസ്ഥ ശബ്ദത്തിൽ; വിദഗ്ധമായ പരിശോധനയ്ക്കൊടുവിൽ കണ്ടുപിടിച്ചത്...

മകൻ ചുമയ്ക്കുമ്പോള് വ്യത്യസ്ഥമായ ശബ്ദം. ആശങ്കയിലായ മാതാപിതാക്കള് ഡല്ഹിയിലെ എയിംസില് എത്തി വിദഗ്ധമായ പരിശോധനയ്ക്കൊടുവിലാണ് ഇതിന് കാരണം കണ്ടെത്തിയത്. ചൂളം അടിക്കുന്നതു പോലുള്ള ശബ്ദമാണ് കുട്ടി ചുമയ്ക്കുമ്പോള് വന്നിരുന്നത്.
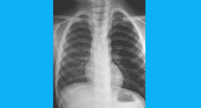
ആഗസ്റ്റ് ഒന്പ്തിനാണ് ഇത്തരത്തില് കുട്ടിയെ ആശുപത്രിയില് പ്രവേശിപ്പിച്ചത്. രണ്ടു ദിവസമായി ഇത്തരത്തില് വ്യത്യസ്ഥമായ ശബ്ദത്തിലാണ് കുട്ടി ചുമയ്ക്കുന്നത് എന്ന് കണ്ടാണ് മാതാപിതാക്കള് കുട്ടിയെ കൊണ്ടുവന്നത്. തുടര്ന്ന് എക്സറെ പരിശോധന നടത്തിയപ്പോള് എന്തോ ഒന്ന് തടഞ്ഞിരിക്കുന്നതായി ശ്രദ്ധയില് പെടുകയായിരുന്നു. ഇത് ശ്വാസമാളത്തിലെ കടുത്ത അണുബാധയ്ക്ക് കാരണമായിരിക്കാമെന്നും ശസ്ത്രക്രിയ നടത്തി പുറത്തെടുക്കുകയും ചെയ്യുകയായിരുന്നു.
കളിപ്പാട്ടത്തില് ഉപയോഗിക്കുന്ന വിസിലാണ് ഇത്തരത്തില് കുടുങ്ങിയിരുന്നത്. എന്നാല് എങ്ങിനെയാണ് കുട്ടിയുടെ ഉള്ളില് ഇത്രയധികം വലിപ്പമുള്ള വിസില് എത്തിയതെന്ന് അറിയില്ല. കുട്ടി ഈ പ്രശ്നങ്ങള്ക്ക് കുറച്ചുനേരം മുന്പ് കളിപ്പാട്ടം വച്ച് കളിച്ചിരുന്നുവെന്നു മാതാപിതാക്കള് പറഞ്ഞു.
https://www.facebook.com/Malayalivartha
























