DISEASES
ഫാറ്റി ലിവർ: ആധുനിക ജീവിതശൈലിയിലെ നിശബ്ദ കൊലയാളി
ആദ്യഘട്ട പരീക്ഷണം വിജയം: എബോളയ്ക്ക് പ്രതിരോധ മരുന്ന്
28 November 2014
പശ്ചിമാഫ്രിക്കന് രാജ്യങ്ങളില് പടര്ന്നു പിടിച്ച് ഇതിനകം 5000ലേറെ പേരുടെ മരണത്തിനിടയാക്കിയ എബോള വൈറസിനെതിരായ പ്രതിരോധ മരുന്നിനായുള്ള ഗവേഷണം അവസാന ഘട്ടത്തിലെന്ന് ഗവേഷകര്. പുതുതായി വികസിപ്പിച്ച മരുന്ന...
പ്രമേഹവ്രണത്തിന് പപ്പായ
17 November 2014
പ്രമേഹമുള്ളവരില് വ്രണങ്ങള് ഉണ്ടാകുമ്പോള് നിരവധി പ്രശ്നങ്ങളാണ് ഉണ്ടാകുന്നത്. 25 ശതമാനം രോഗികള് ക്കും കാലിന്റെ ഉപ്പൂറ്റി ഭാഗത്തില് വ്രണങ്ങള് ഉണ്ടാകാനുള്ള സാധ്യത ഏറെയാണ്. ഇത്തരത്തിലുള്ള വൃണങ്ങള...
അണ്ഡാശയ കാന്സര് തടയാന് കട്ടന്കാപ്പി
11 November 2014
ദിവസവും കട്ടന്കാപ്പിയും ഓറഞ്ച് ജ്യൂസും കുടിച്ചാല് അണ്ഡാശയ കാന്സര് തടയാന് സാധിക്കുമെന്ന് ബ്രിട്ടനില് നിന്നുള്ള ശാസ്ത്രജ്ഞരുടെ പഠനം തെളിയിക്കുന്നു. കാപ്പി, റെഡ്വൈന്, ആപ്പിള്, മുന്തിരി തുട...
വ്രണങ്ങള് ഉണങ്ങാന്
10 November 2014
വേപ്പില കഷായം കൊണ്ട് വ്രണമുള്ള ഭാഗം നല്ലതുപോലെ കഴുകുക കുറച്ചു ദിവസം ഇങ്ങനെ ചെയ്താല് വ്രണങ്ങള്ക്ക് ശമനമുണ്ടാകും വേപ്പിലയും എള്ളും ചേര്ത്തരച്ച് തേന് ചേര്ത്ത് വ്രണമുള്ള ഭാഗത്ത് വച്ചാല് മുറി...
ഡെങ്കിപ്പനിക്ക് ആദ്യമായി പ്രിതരോധകുത്തിവയ്പ്
03 November 2014
അടുത്ത വര്ഷവസാനത്തോടെ ഡെങ്കിപ്പനിയ്ക്കുളള പ്രതിരോധ കുത്തിവയ്പ് വിപണിയില് ലഭ്യമാകും. ഏഷ്യയിലെ മറ്റു രാജ്യങ്ങളിലെന്നപോലെ ഈ മരുന്ന് ഇന്ത്യയിലും പരീക്ഷിച്ചു വിജയം കണ്ടെന്ന് നിര്മ്മാതാക്കളായ ഫ്രാന്സിലെ...
സ്ത്രീകളില് സ്ട്രോക്ക് കൂടുന്നു
01 November 2014
സ്ത്രീകളില് സ്ട്രോക്ക് വന്നുളള മരണസംഖ്യ ഉയര്ന്നിട്ടും പലര്ക്കും സ്ട്രോക്കിനെ കുറിച്ച് കാര്യമായ അവബോധമില്ലെന്ന് ഡോക്ടര്മാര് പറയുന്നു. രോഗത്തെകുറിച്ചും രോഗലക്ഷണങ്ങളെ കുറിച്ചുമുളള അറിവില്ലാ...
ഇരുപതിലധികം സ്ത്രീകളുമായി ലൈഗീകബന്ധം പുലര്ത്തിയാല് പ്രോസ്റ്റേറ്റ് കാന്സര് വരില്ലത്രേ !
30 October 2014
യൂണിവേഴ്സിറ്റി ഓഫ് മോണ്ട്രിയല് 3000 പുരുഷന്മാരില് 4 വര്ഷം കൊണ്ട് നടത്തിയ ഗവേഷണഫലങ്ങള് കൗതുകമുണര്ത്തുന്നവയാണ്. 20-ല് കൂടുതല് സ്ത്രീകളുമായി ശാരീരിക ബന്ധത്തിലേര്പ്പെട്ടിട്ടുളള പുരുഷന്മാര്ക്ക...
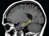
നിശബ്ദ കൊലയാളിയായ ബ്രെയിന് അറ്റാക്ക്
30 October 2014
ഹാര്ട്ട് അറ്റാക്ക് പോലെ തന്നെ മലയാളികളുടെ ജീവനെടുക്കുന്നതില് മുന്നിലാണ് ബ്രെയിന് അറ്റാക്ക് എന്ന പക്ഷാഘാതവും. ഇന്ത്യയില് പത്തു ലക്ഷത്തോളം പേര് ഓരോ വര്ഷവും ഈ നിശബ്ദ കൊലയാളിക്ക് ഇരയാകുന്നുണ്...
എബോള തിരിച്ചറിയാന് പേപ്പര് ടെസ്റ്റ്
28 October 2014
എബോള രോഗം തിരിച്ചറിയാന് ഇനി മുപ്പതു മിനിട്ട് മതി. പേപ്പര് ടെസ്റ്റ് എന്നറിയപ്പെടുന്ന പുതിയ രീതിയില് കേവലം 30 മിനിട്ട് കൊണ്ട് രോഗം തിരിച്ചറിയാനാകുമെന്നാണ് ഗവേഷകര് അവകാശപ്പെടുന്നത്. കുറഞ്ഞ ചെലവില് എ...
ത്വക് രോഗത്തിന് ഇനി ഡോക്ടറെ കാണേണ്ട; സെല്ഫിയെടുത്തയച്ചാല് മതി
28 October 2014
എല്ലാവരുടെ കൈയ്യിലും മൊബൈല് ഫോണുള്ള ഈ കാലത്ത് ചികിത്സാ രീതിയിലും മാറ്റം വരികയാണ്. ഡോക്ടറെ നേരിട്ട് കാണാതെ സെല്ഫിയെടുത്തയച്ചാല് ഇനി പരിഹാരമുണ്ടാകും. ചര്മ്മ രോഗമുള്ളവര്ക്കാണ് ഇപ്പോള് ഈ രീതിയി...
പഥ്യം പാലിച്ചാല് പ്രായാധിക്യം മൂലമുളള ഓര്മ്മക്കുറവ് പരിഹരിക്കാമെന്ന് പഠനം
27 October 2014
\'നേച്ചര് ന്യൂറോസയന്സ്\' എന്ന ജേണലില് അടുത്തയിടെ പ്രസിദ്ധീകരിച്ച ഒരു ലേഖനത്തിലാണ് വാര്ധ്യക്യത്തില് ഉണ്ടാകുന്ന ഓര്മ്മക്കുറവ് മാറ്റിയെടുക്കാന് കഴിയുമെന്ന് ഗവേഷകര് കണ്ടെത്തിയതായി അവകാശപ...
പ്ലാസ്റ്റിക് കുപ്പികളിലെ മരുന്ന കേന്ദ്ര സര്ക്കാര് നിരോധിച്ചു
27 October 2014
മരുന്നുകള് പ്ലാസ്റ്റിക് കുപ്പികളില് ഉപയോഗിക്കുന്നതിന് കേന്ദ്ര സര്ക്കാരിന്റെ നിരോധനം. പ്ലാസ്റ്റിക് കുപ്പികളില് മരുന്ന് സൂക്ഷിക്കുന്നത് കുട്ടികളിലും മുതിര്ന്നവരിലും വിവിധ തരത്തിലുള്ള ആരോഗ്യപ്രശ്നങ...
കര്ണരോഗങ്ങള് കരുതിയിരിക്കുക
25 October 2014
മലിനമായ വെളളത്തില് കളിക്കുകയും വലിയ ശബ്ദം ശ്രവിക്കുകയുമൊക്കെ ചെയ്യുന്നത് കേള്വിയുടെ ആയൂസ് കുറയ്ക്കും. കേള്വിക്കുറവോ, ചെവിക്ക് മറ്റ് അസ്വസ്ഥതകളോ അനുഭവപ്പെടുന്നുണ്ടെങ്കില് എത്രയും വേഗം ഡോക്ട...
ചെങ്കണ്ണിനെതിരെ ജാഗ്രത പുലര്ത്തണമെന്ന് ആരോഗ്യവകുപ്പ്
23 October 2014
സംസ്ഥാനത്തു വ്യാപകമായി ചെങ്കണ്ണുരോഗം പടരുന്നു. ചൂടും മഴയുമുള്ള അന്തരീക്ഷത്തില് ചെങ്കണ്ണ് അതിവേഗം പടരുന്നതിനാല് ജാഗ്രത പുലര്ത്തണമെന്ന് ആരോഗ്യ വകുപ്പ് നിര്ദേശിച്ചു.രോഗം വന്നാല് ഡോക്ടറുടെ നിര്...
കോശം മാറ്റിവയ്ക്കല് ശസ്ത്ക്രിയയിലൂടെ തളര്ന്നു കിടന്ന രോഗി നടന്നു
22 October 2014
കഴുത്തിനുതാഴെ പൂര്ണമായും തളര്ന്ന രോഗിയെ കോശം മാറ്റിവയ്ക്കല് ശസ്ത്ക്രിയയിലൂടെ എഴുന്നേല്പ്പിച്ചു നടത്തിക്കുന്നതില് ഡോക്ടര്മാര് വിജയിച്ചു. ഡയറെക് ഫിഡിക (38) എന്ന ബള്ഗേറിയന് യുവാവാണ് 2010 ...
വിഴിഞ്ഞത്തെ വില്ലൻ പഴകിയ ഭക്ഷണമല്ല! മീനിനുള്ളിൽ ഒളിഞ്ഞിരുന്ന 'അദൃശ്യ കൊലയാളി'; ഞെട്ടിക്കുന്ന റിപ്പോർട്ട് പുറത്ത്
എന്റെ മക്കളെ ഓർത്തെങ്കിലും ഇത് നിർത്തൂ!" ഫിറോസിന്റെ ആരോപണങ്ങൾക്ക് സജ്നയുടെ കണ്ണീർ മറുപടി; 'ആ ഉന്നതൻ' വെറും നുണ?
സ്വന്തം പെറ്റമ്മയുടെ കഴുത്തറുത്ത ശേഷം കൂസലില്ലാതെ ക്രിസ്റ്റി.. മാരകമായ ലഹരിമരുന്നുകള്ക്ക് അടിമ..അത്യന്തം ഭീതിജനകമായ വിവരങ്ങളാണ് ഇപ്പോള് പുറത്തുവരുന്നത്...
മന്ത്രി വി. ശിവന്കുട്ടിയും മേയര് വി.വി. രാജേഷും തമ്മിലുള്ള വാക്പോര്.. 2030-ലെ 'കാവിലെ പാട്ട് മത്സരത്തില്' വീണ്ടും കാണാമെന്ന് മേയർ..അസ്വസ്ഥതകള് മാറാന് മന്ത്രി യോഗ ചെയ്യുന്നത് നല്ലതാണെന്നും രാജേഷ്..






















