NATIONAL
തെരഞ്ഞെടുപ്പ് പ്രഖ്യാപനത്തിന് തൊട്ടുമുന്നേ മമതയുടെ വമ്പന് പ്രഖ്യാപനം
ചെന്നൈയിൽ പത്തു വയസ്സുകാരിയെ എസ്ഐ ക്രൂര ബാലസംഗത്തിനിരയാക്കി; മദ്യലഹരിയിലായിരുന്ന ഉദ്യോഗസ്ഥനെ നാട്ടുകാർ കൈകാര്യം ചെയ്ത് പോലീസിലേൽപ്പിച്ചു
04 December 2018
ചെന്നൈയിൽ വീടിനു സമീപം കളിച്ചുകൊണ്ടിരുന്ന പത്തു വയസ്സുകാരിയെ എസ്ഐ ക്രൂര പീഡനത്തിനിരയാക്കിയതായി റിപ്പോർട്ടുകൾ. ചെന്നൈയിലെ വില്ലിവാക്കം ജഗനാഥന് തെരുവിലായിരുന്നു ഇത്തരത്തിലൊരു ദാരുണ സംഭവം അരങ്ങേറിയത്. ...
ഹനുമാന് ദളിതൻ മാത്രമല്ല ഭൂവുടമകളുടെ അടിമയായിരുന്നു ! ; യുപി മുഖ്യമന്ത്രി യോഗി ആദിത്യനാഥിന്റെ പ്രസ്താവനയിൽ പ്രതികരിച്ച് ബിജെപി വനിതാ എം പി സാവിത്രി ബായ് ഫൂലെ
04 December 2018
ഹനുമാന് ദളിതനായിരുന്നുവെന്ന യുപി മുഖ്യമന്ത്രി യോഗി ആദിത്യനാഥിന്റെ പ്രസ്താവന ശരിവച്ച് ബിജെപി വനിതാ എം പി സാവിത്രി ബായ് ഫൂലെ. ഹനുമാന് ദളിതനായിരുന്നുവെന്നും എന്നാല് ഹനുമാന്, ഭൂവുടമകളുടെ(മനുവാദി) അടി...
ഉത്തര്പ്രദേശില് ബിജെപി നേതാവിനെ കുത്തിക്കൊലപ്പെടുത്തിയ നിലയിൽ; ജീവന് ഭീഷണിയുണ്ടെന്ന് കാട്ടി പോലീസ് മേധാവിയ്ക്ക് പരാതി നല്കിയിട്ടും സുരക്ഷ ഒരുക്കിയില്ലെന്ന് ആരോപണം; പ്രദേശത്ത് സംഘർഷാവസ്ഥ
04 December 2018
ഉത്തര്പ്രദേശില് ബിജെപി നേതാവിനെ കുത്തിക്കൊലപ്പെടുത്തിയാതായി റിപ്പോർട്ടുകൾ. പ്രത്യുഷ് മണി ത്രിപാഠി (34) നെ ആണ് കൊലപ്പെടുത്തിയത്. അജ്ഞാതരുടെ മൂര്ച്ചയേറിയ ആയുധം കൊണ്ട് മുറിവേറ്റ് രക്തം വാര്ന്ന് റോഡരു...
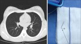
11-കാരിയുടെ ശ്വാസകോശത്തില് കുടുങ്ങിയ പിന് പുറത്തെടുക്കാനായത് ആറാംനാള്, ശിരോവസ്ത്രത്തില് കുത്തുന്നതിന് കടിച്ചുപിടിച്ചിരുന്നതിനിടെ വിഴുങ്ങിപ്പോയതാണ്!
04 December 2018
ശിരോവസ്ത്രം ധരിക്കുന്നതിനിടെ കടിച്ചുപിടിച്ചിരുന്ന പിന് അറിയാതെ വിഴുങ്ങിപ്പോയ ബാലിക പിന്നീടുള്ള ആറു ദിനങ്ങള് തള്ളിനീക്കിയത് ജീവിതത്തിനും മരണത്തിനുമിടയിലെ നൂല്പാലത്തിലൂടെ. നവംബര് 21-നാണ് 118-കാരിക്ക...
മരിച്ചുകഴിഞ്ഞാല് മോക്ഷം തേടി ഇനി ബഹിരാകാശത്തേക്ക് ഒരു യാത്ര
04 December 2018
മരിച്ചു കഴിഞ്ഞാൽ ആകാശത്തെ നക്ഷത്രക്കൂട്ടത്തിലൊരു നക്ഷത്രമാകും എന്നെല്ലാം പഴമക്കാര് പറയാറുണ്ട് എന്നാലിപ്പോൾ അത് തമാശയല്ല , ശരിക്കും സത്യമാണ്, എങ്ങനെയെന്നല്ലേ , മരിച്ചുകഴിഞ്ഞാല് ആകാശത്തേക്ക് ഒരു യാത്ര...
ടി . ആര്.എസ് അധ്യക്ഷന് ചന്ദ്രശേഖര റാവുവിന്റെ റാലി തടസപ്പെടുത്താന് ആഹ്വാനം;തെലങ്കാന പി.സി.സി സ്ഥാനാർഥി രേവന്ത് റെഡ്ഢി കസ്റ്റഡിയിൽ
04 December 2018
ടി ആർ എസ് അധ്യക്ഷൻ കെ ചന്ദ്രശേഖര റാവുവിന്റെ റാലിയെ തടയണമെന്ന് ആഹ്വനം ചെയ്ത തെലങ്കാന പി.സി.സി സ്ഥാനാർഥി രേവന്ത് റെഡ്ഢി കസ്റ്റഡിയിൽ.ഇന്ന് പുലര്ച്ചെ മൂന്നുമണിയോടെയാണ് സ്വവസതിയില് നിന്നും രേവന്തിനെ പോലീ...
താന് വിജയിച്ചാൽ ശൈശവ വിവാഹത്തില് പൊലീസ് ഇടപെടില്ലെന്ന് ബിജെപി സ്ഥാനാർത്ഥിയുടെ വാഗ്ദാനം; കൈയടിച്ച് വരവേറ്റ് ജനക്കൂട്ടം; സംഭവം വൻ വിവാദം
04 December 2018
രാജസ്ഥാൻ സോജാറ്റ് മണ്ഡലത്തിലെ തിരഞ്ഞെടുപ്പ് ജയിച്ചാൽ ശൈശവ വിവാഹത്തില് പൊലീസ് ഇടപെടില്ലെന്ന് ബിജെപി സ്ഥാനാർത്ഥിയുടെ വാഗ്ദാനം വിവാദത്തിൽ.പാലി ജില്ലയിലെ സോജാറ്റ് മണ്ഡലത്തിലെ ബിജെപി സ്ഥാനാര്ത്ഥിയായ ശോഭ ...
ബുലന്ദ്ഷാഹർ അക്രമം ; പൊലീസ് ഉദ്യോഗസ്ഥന് സുബോധ്സിങ്ങിനെ കൊലപ്പെടുത്തിയ കേസിൽ ബജ്റംഗദള് ജില്ലാ നേതാവ് അറസ്റ്റില്; ബി.ജെ.പി, വി.എച്ച്.പി നേതാക്കള് അറസ്റ്റിലായതായും പൊലീസ്
04 December 2018
ഉത്തർപ്രദേശിൽ ബുലന്ദ്ഷാഹർ ജില്ലയിൽ പൊലീസ് ഉദ്യോഗസ്ഥന് സുബോധ്സിങ്ങിനെ കൊലപ്പെടുത്തിയ സംഭവത്തില് ബജ്റംഗദള് ജില്ലാ നേതാവ് യോഗേഷ് രാജ് അറസ്റ്റില്. ഇയാള്ക്കെതിരെ പോലീസ് കൊലപാതകത്തിനും കൊലപാതകശ്രമത്...
ദ്വിദിന സന്ദര്ശനത്തിന് ഇന്ത്യയുടെ വിദേശകാര്യമന്ത്രി സുഷമാ സ്വരാജ് അബുദബിയില്
04 December 2018
രണ്ട് ദിവസം നീളുന്ന ഔദ്യോഗിക സന്ദര്ശനത്തിന് ഇന്ത്യയുടെ വിദേശകാര്യ മന്ത്രി സുഷമാ സ്വരാജ് അബൂദബിയിലെത്തി. സാമ്പത്തിക സാങ്കേതിക സഹകരണത്തിനുള്ള ഇന്ത്യ, യു.എ.ഇ. സംയുക്ത സമിതിയുടെ 12ാം സമ്മേളനത്തില് പങ്ക...
മുംബൈയിലെ വനമേഖലയില് വന് തീപിടുത്തം, അതിശക്തമായ കാറ്റ് തീപിടുത്തത്തിന്റെ വ്യാപ്തി കൂട്ടി, അപൂര്വ്വ സസ്യങ്ങളും വന്യമൃഗങ്ങളും അടക്കം വന് നാശനഷ്ടം, തീ നിയന്ത്രണവിധേയമാക്കാനുള്ള ശ്രമം തുടരുന്നു
04 December 2018
വടക്ക്പടിഞ്ഞാറ് മുംബൈയിലെ വനമേഖലയില് നാലു കിലോമീറ്റര് ചുറ്റളവില് വന് തീപിടിത്തമുണ്ടായി. മുംബൈയിലെ ഗുര്ഗാവില് അരൈ കോളനി മേഖലയിലാണ് സംഭവമുണ്ടായത് . ഗോത്രവര്ഗക്കാര് താമസിക്കുന്ന പ്രദേശനത്തിന് സമീ...
ഉത്തര്പ്രദേശില് ഗോവധം ആരോപിച്ച് സംഘ്പരിവാര് പ്രവര്ത്തകര് നടത്തിയ കലാപത്തിനിടെ പൊലീസ് ഉദ്യോഗസ്ഥന് സുബോധ്കുമാര് സിങ് കൊല്ലപ്പെട്ടത് വെടിയേറ്റെന്ന് പോസ്റ്റ്മോര്ട്ടം റിപ്പോര്ട്ട്
04 December 2018
ഉത്തര്പ്രദേശിലെ ബുലന്ദ്ശഹറില് ഗോവധം ആരോപിച്ച് സംഘ്പരിവാര് പ്രവര്ത്തകര് നടത്തിയ കലാപത്തിനിടെ പൊലീസ് ഉദ്യോഗസ്ഥന് സുബോധ്കുമാര് സിങ് കൊല്ലപ്പെട്ടത് വെടിയേറ്റെന്ന് പോസ്റ്റ്മോര്ട്ടം റിപ്പോര്ട്ട്....
എയര് വേസ് പൈലറ്റുമാര് കൂട്ട മെഡിക്കല് ലീവില് ... ജെറ്റ് എയര്വേസ് 14 വിമാന സര്വ്വീസുകള് റദ്ദാക്കി
03 December 2018
എയര്വേസ് പൈലറ്റുമാരുടെ അവധിയെ തുടര്ന്ന് ജെറ്റ് എയര്വേസ് 14 വിമാന സര്വീസുകള് റദ്ദാക്കി. ഞായറാഴ്ച നിരവധി പൈലറ്റുമാര് രോഗാവധിയിലായതോടെ 14 വിമാനങ്ങള് കമ്പനി റദ്ദാക്കിയത്. ഇന്ത്യയിലെ ഏറ്റവും വലിയ വി...
ഭോപ്പാല് വാതക ദുരന്തത്തിനു പിന്നാലെ ഭാരത സര്ക്കാറിന് സഹായ വാഗ്ദാനങ്ങളുമായി ഇറ്റലി എത്തിയിരുന്നു;രാജീവ് ഗാന്ധി സര്ക്കാര് താൽപ്പര്യം പ്രകടിപ്പിച്ചില്ല;ഇറ്റലിയിലെ ഇന്ത്യന് അംബാസിഡറായിരുന്ന ഹോമി ജെ.എന് ടെലിയര്ഖാന് രാജീവ് ഗാന്ധി സര്ക്കാറിന് എഴുതിയ കത്തിൽ പറയുന്നു
03 December 2018
ഭോപ്പാല് വാതക ദുരന്തത്തിനു പിന്നാലെ ഭാരത സര്ക്കാറിന് സഹായ വാഗ്ദാനങ്ങളുമായി ഇറ്റലി എത്തിയിരുന്നെന്നും എന്നാല് ഭാരത സര്ക്കാര് ഇതില് താല്പര്യം പ്രകടിപ്പിച്ചില്ലെന്നും കാണിച്ച് ഇറ്റലിയിലെ ഇന്ത്യന്...
ജമ്മു കാശ്മീരില് തണുപ്പിന്റെ കാഠിന്യമേറുന്നു. വരുന്ന മൂന്ന്, നാല് ദിവസങ്ങളില് താപനില കൂടുതല് താഴുമെന്നാണ് കാലാവസ്ഥാ നിരീക്ഷണ കേന്ദ്രം നല്കുന്ന മുന്നറിയിപ്പ്
03 December 2018
ജമ്മു കാശ്മീരിന്റെ വിവിധ മേഖലകളില് തണുപ്പ് അതി കഠിനമാകുന്നു. തലസ്ഥാനമായ ശ്രീനഗറില് സീസണിലെ ഏറ്റവും കൂടിയ തണുപ്പാണ് കഴിഞ്ഞ രാത്രി രേഖപ്പെടുത്തിയത്. മൈനസ് 2.8 ഡിഗ്രിയാണ് ശ്രീനഗറിലെ താപനില. ജമ്മു കാഷ്മ...
ഉത്തര്പ്രദേശില് ട്രക്ക് ട്രാക്ടറിലേക്ക് ഇടിച്ചുകയറി ഉണ്ടായ ആക്രമണത്തില് അഞ്ചു പേര്ക്ക് ദാരുണാന്ത്യം
03 December 2018
ഉത്തര്പ്രേദശില് ട്രക്ക് ട്രാക്ടറിലേക്ക് ഇടിച്ചുകയറി ഉണ്ടായ ആക്രമണത്തില് അഞ്ചു പേര് മരിച്ചു. സംഭവത്തില് 11 പേര്ക്ക് പരിക്കേറ്റു. പരിക്കേറ്റവരില് അഞ്ചു പേരുടെ നില അതീവ ഗുരുതരമാണെന്നാണ് റിപ്പോര്ട...
പോലീസിനെ വെട്ടിച്ച് രക്ഷപ്പെട്ട പ്രതികള്.. പോലീസ് തന്ത്രപരമായി ബസ്സുകള് കുറുകെയിട്ട് റോഡ് ബ്ലോക്ക് ചെയ്തതോടെ പ്രതികള്ക്ക് വഴിമുട്ടി..ടെ മിനിറ്റുകള്ക്കുള്ളില് പോലീസ് സംഘം സ്ഥലം വളഞ്ഞു..
മദ്യമില്ല, പുകവലിയില്ല; ലഹരി ചോര മാത്രം! കൊല്ലത്തെ വിറപ്പിച്ച ആ 'സൈക്കോ' ഗുണ്ടയുടെ അന്ത്യം! നിലവിളിച്ചിട്ടും വിട്ടില്ല; അലുവ അതുൽ വധത്തിന്റെ ഞെട്ടിക്കുന്ന ചുരുളഴിയുന്നു...
മനഃസാക്ഷിയെ നടുക്കുന്ന ക്രൂരമായ ഒരു കൊലപാതകം..ഇരട്ടസഹോദരിയെ യുവാവ് അതിക്രൂരമായി കുത്തിക്കൊലപ്പെടുത്തി.. കത്തി ഉപയോഗിച്ച് ഏകദേശം 84 തവണയാണ് കുത്തി പരിക്കേൽപ്പിച്ചത്..
ചരിത്രപ്രസിദ്ധമായ കവടിയാര് കൊട്ടാരത്തില് കയറിയ കള്ളന്മാർ..കറുത്ത മുത്തും സ്വർണ്ണ മുത്തും ഇടകലർന്ന പാദസ്വരം, എട്ടു ലക്ഷം രൂപ വില വരുന്ന പച്ച കല്ല് പതിച്ച ആഭരണം..മോഷണം പോയ വസ്തുക്കൾ..
ഗുണ്ടാ നേതാവിനെ പട്ടാപ്പകൽ വെട്ടിക്കൊലപ്പെടുത്തി; സിനിമാ സ്റ്റൈൽ ആക്രമണം സ്റ്റേഷനിൽ ഒപ്പിട്ട് മടങ്ങവേ...
കുഞ്ഞ് അനഘയ്ക്കും അമിതയ്ക്കും ഇനി സുരക്ഷിത തണൽ; തുണ - സിഎംഎൻ ട്രസ്റ്റുകളുടെ സ്നേഹവീടിന് തറക്കല്ലിട്ടു- സന്ദീപ് വാചസ്പതി



















